「化粧の歴史」と「皮膚の栄養」
2023.01.27
アメリカの形成外科医、J・ハワード・クラム博士の自著『美容と健康(Beauty and health)』に、美と健康の真意について次のような記述があります。
われわれの終局の目的は、完全な容姿、若々しい外観、美麗な顔貌、魅力的な人格、および真実の幸福を結合することである。
健康医学の創始者・西勝造はこの言を受けて、「顔貌の美を女性美のすべてであると考えている人々に対して、真に味わうべき名言である」と評しています。
考えさせられますね…。

Mom and her 10 years old preteen daughter chilling in the bedroom and making clay facial mask. Mother with child doing beauty treatment together. Morning skin care routine.
さて、今日では日常的な習慣となった「化粧」ですが、この化粧の歴史を渉猟してみると、その起源は古く、エジプト人やアラビヤ人は4000年前にすでに化粧をしていたことがわかります。
意外なことに、彼ら欧州人の古代から中世にかけての化粧は、主として芳香性の軟膏剤をつくって、それを髪や頸や四肢に塗ることだったようです。
マグダラのマリアがキリストを迎えて、その足に香油を塗る話しが聖書にありますが、彼らの化粧は顔に塗る顔料ではなくて、主に「香料」だったのです。
その町で罪の女であったものが、パリサイ人の家で食卓に着いておられることを聞いて、香油が入れてある石膏のつぼを持ってきて、泣きながら、イエスのうしろでその足もとに寄り、まず涙でイエスの足をぬらし、自分の髪でぬぐい、そして、その足に接吻して、香油を塗った。(七─三六〜三八)
『ヨハネ福音書』第十三章によれば、弟子たちとの最後の晩餐のあと、この足洗いの行為を、こんどはイエスも弟子たちに演じています。

VIENNA – JANUARY 15: Mosaic of Last supper of Jesus by Giacomo Raffaelli in the Minoriten church from year 1816 as copy of Leonardo da Vinci work on January 15. 2013 in Vienna.
欧州人の東洋への進出は、これらの香料を入手するための貿易もあずかって力があったと、史家は述べています。
やはり体臭が気になっていたのでしょうか?!
見た目は美しくても、臭いがきついとなると100年の恋も冷めてしまいますよね。
よくご存知だと思いますが、体臭は、アポクリン汗腺などの汗ケアと便秘が、大きな原因となります。
とくに便秘が原因の体臭は、血液由来で皮膚に到達しますから、身体を洗っても解消されません。
この当時はまだ、体臭の生理学的なメカニズムがわかっていなかったのです。
気をつけないとですね!
一方、東洋の化粧はどうかというと、西洋のスタイルとは相反して、「顔料」が主たるものでした。
中国では、古来、ベニバナを原料としていたようです。
殷(いん)の紂王(ちゅうおう)の時代(紀元前11世紀)に、燕国の紅花をもってベニをつくったので、ベニのことを臙脂(えんじ)とよぶようになったと伝わっています。
また、秦の始皇帝(紀元前259~210)の宮廷において、すべての女官3000人が「紅粧翠眉」をほどこしていたといいます。
顔はベニで赤く、眉は緑に塗っていたというのです。
眉は、緑色が美人さんだったんですねぇ!?

Safflower, False Saffron, Saffron Thistle (Carthamus tinctorius Linn.)
楊貴妃(ようきひ)が「薄紅色の汗」を出したとつたえられるのも、紅を塗っていたことを意味しているのでしょう。
この東洋の化粧の傾向が日本にも流れてきて、化粧といえば紅白粉ということになったのです。
口紅の原料であるベニバナに関しては、推古18年に憎雲徴が種子を高麗からつたえたとされています。
正倉院の「鳥毛立屏風」には鮮やかな紅で唇を濃く染め、額と口元には鮮緑色の花鈿(かでん)よう鈿(かんざし)をつけた美女が描かれています。
肉体美を主とする香料による化粧と、顔貌美を主とする顔料による化粧、すなわち西洋の化粧と東洋の化粧の融合は、比較的早く欧州においては実現されていたようです。
そして、口紅の歴史は、実に5000年をこえるといいます。
西洋では、古くから頬や口に紅を塗る「赤い化粧」がおこなわれていたようです。

バロック・オペラの最高傑作であるモンテベルディの「ポッペーアの戴冠」のポッペーアは、化粧を最大限利用してローマ皇帝ネロを誘惑し、ネロの妻の座を射止めたといわれています。
香りと美しい化粧を融合させた「馥郁(ふくいく)たる魅力」をもって、異性にアプローチするようになったのですね。
しかし当時、どうもそれを言いあらわす「化粧(メイクアップ)」という言葉はなかったようです。
このためシェークスピアは、戯曲の中で「化粧する」ことを「ペインティング」といっています。
この欧米の新しい流れが、敗戦後の日本に急激に奔流化してきて、それが日本の人々を魅了し、今日、異性の肉体美に対する啓蒙となってきたというわけです。
妾(わらわ)に美貌を与えよ。
さらば妾は持てる凡(すべ)ての文才を彼に与えん。

Madame de Staël
これは、古今不世出の英雄ナポレオンを戦慄させたという、フランスの女流作家アンヌ・ルイーズ・ジェルメーヌ・ド・スタール(Anne Louise Germaine de Staël)女史の有名な告白です。
いつまでも若く美しくありたいというのは、昔も今も変わりない全女性(今日では男性でも)の願いでしょう。
これまでの考察は、どちらかと言えば「心理学的」な側面をとらえたお話しでしたが、その誰もが願う美しい顔の基は、肌や顔色の美しさ、つまり、皮膚にあるわけです。
ということで、わたしたちを美しく魅せるすべては「皮膚」ですが、ここからは解剖学や生理学的、栄養学的観点からみていきましょう。
皮膚の正式名称は「皮膚系統」で、英語では「キューティニアス・システム」といいます。
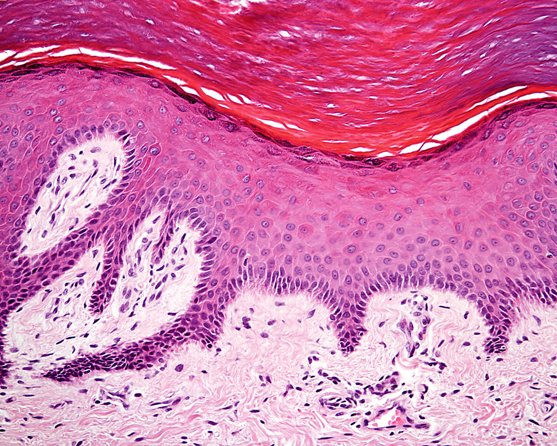
皮膚を高性能の顕微鏡で拡大してみると、薄い表皮自体がスライスチーズを重ねたように5つの層に別れていることがわかります。
最上層は角質層という防水の外皮で、髪の毛や爪と同じ物質、ケラチンでできています。
実はこの角質層は死んだ細胞なのです。
人間を美しく魅せるすべてが生きていないというのは、なんとも奇妙ですね。

Micrograph showing the epidermis and dermis of a human finger skin. The layers of this keratinized stratified squamous epithelium are clearly seen. H&E stain
角質層の下の各層が、皮膚を完璧で健康に保つ特別な役割をそれぞれ担っています。
ある層は表皮細胞を結びつけ、別の層はケラチンを産生します。
さらに、表皮の最下層、真皮との境界になっている層は幹細胞を含んでいます。
幹細胞は必要に応じて皮膚を補充し、傷を治し、皮膚から自然に剥がれて死んだ細胞に置き換わり、身体から欠落して行きます。
この剥がれて死んだ細胞を「鱗屑(りんせつ)」と言いますが、わたしたちは無意識のうちに、1年に約0.5キログラムの鱗屑を振り撒きながら歩いているのです。
とくに乾燥する冬季は、粉のような鱗屑にお悩みの方が多いのではないでしょうか。
余談ですが、皮膚と同じように、人体のすべての部分はいくつもの層に分けられます。
眼球の白目は4つの層からできていますし、動脈壁は6層です。
脳の薄い皮質ですら、実は6層になっています。
層形成は、人体における基本的な構造上の原則なのです。
しかもそれによって回復力(自然治癒力)が高まり、細胞機能をより分化させることができるわけです。
昔からフランスでは「皮膚は諸病の鏡である」と言われていますが、皮膚は内臓の健康を推し量るための重要な入り口にもなっています。

Before and after facial treatment concept. Face with melasma and brown spots and open pores.
本稿ではその詳細は省略しますが、口から始まり、肛門で終わる消化管は、皮膚と一続きにつながっている「内なる外」と言われる器官です。
ですから、胃腸に不調や問題を抱えている人は、肌(皮膚)にもその不調が顕著に現れるのです。
一方皮膚は、生体と外界の境界線を劃(かく)しているもので、生体と外界との連絡場所であり、物質の交換場所でもあります。
この内外の物質交換の機能を円滑にするためには、皮膚を健康にしておかなければなりません。
その目的のために創案されたのが、裸療法と温冷浴です。
この二つの方法を実行してさえすれば、風邪など引きたくても、引かなくなります。

それはさておき、物質交換の連絡所としての皮膚は、体内から老廃物を分泌しますが、その多くのものは「酸性」を帯びています。
そしてまた皮膚はその酸性物質によって、健康を保たれてもいるのですが、一般に販売されている化粧品や石鹸の殆どすべては「アルカリ性」です。
京都第一赤十字病院皮膚科の浦上芳達医師は、『化粧品障害と化粧品のpHについて』においてアルカリ性化粧品の使用について以下のように警鐘を鳴らしています。
今日化粧品は広い年齢層にわたって使用され、その使用量は年々増加の一途をたどっている。
化粧品は女性の願望を満たすべく毎日のように多種多様に健康な肌に塗布せられるものであって、美的観念が先行するため、知らず知らずの中に健康な皮膚は障害されることが多いものである。
化粧品は医薬品と違って人体皮膚に対して絶対安全なものでなくてはならないものであるが、最近化粧品に起因すると思われる皮膚障害は年々増加の傾向をたどっている。
京都第一赤十字病院皮膚科外来において過去1年間女性の顔面に限局して見られる皮膚炎患者は女性の皮膚炎患者全体の27%にも達し、顔面に限局して見られる湿疹群の男女比は1:2であり、明らかに女性の顔面は何らかの原因により皮膚炎症状がおこり易いことが覗(うかが)われる。
これが全て化粧品の影響とは考え難いが、女性の日常生活から考えて見れば他の外刺激を考えるよりも化粧品がその発生に重大な役割を演じていると考えた方が妥当のように思われる。
化粧品皮膚炎についての研究報告は近年その数を増しているといえども、その発生機序に関しては、アレルギー説、一次刺激説、閾値低下説など種々論ぜられ、アレルギー説が最も有力とされている。
しかし現在使用されている化粧品の多くはアルカリ性であり、塗布した部位に限局して皮膚炎が発生すること、新しい製品にかえた直後にしばしば見られること、化粧品塗布後数時間以内で発生することもあり、多種類の化粧品にて皮膚炎をおこすことが多いことなどの現象も数多く見られるので、著者は化粧品皮膚炎の発生機序がアレルギーよりも化粧品の物理化学的刺激がその主役をなしているものと考えた。
就中(なかんづく:とりわけの意)全ての化粧品に共通であり、物理化学的刺激の基礎をなすものと考えられる化粧品のpHに焦点を合せて、これと化粧品皮膚炎との関係を臨床統計学的に観察するとともに、臨床実験的な考察も加えた…。
酸性の分泌物に対してアルカリ性のものは中和して、一時的には皮膚をきれいにするように見えますが、本質的には皮膚の健康を損なうことを知っておく必要があります。
化粧品を常用している人々の、化粧前の素肌を見れば、その肌荒れに驚かされることがあります。
これはアルカリ性化粧品のおかした罪悪なのです。
次に皮膚の健康を保つための栄養を考えてみましょう。
もちろん皮膚は、生体の代表者として外界に接しているわけですから、生体自身の健康となる栄養を必要としていますが、特にわたしたちは皮膚の健康のために「ビタミンC」の摂取をすすめています。

Foods High in vitamin C on a wooden board. Healthy eating.
皮膚の健康のためには、ビタミンAもBもCもPも必要ですが、これを「壁塗り」にたとえれば、Cは荒壁の苆(すさ)で、Bは中塗りの苆、Aは上塗りの苆に相当します。
※苆(すさ):壁土にまぜて(壁に割れができないよう)つなぎとする、わら・麻・紙などを細かく切ったもの。
いかに上塗や中塗を丹念にしても、荒壁の苆が適当でなければ、壁は少しの振動にも亀裂を生じて落ちてしまいます。
そこで何よりも重要なものが、ビタミンCなのです。
ビタミンCが欠乏すると、皮膚の根基ともなる膠原質(こうげんしつ)、つまりコラーゲンが形成されないのです。
コラーゲン【collagen】の解説
動物の結合組織の主成分で、骨・腱 (けん) ・皮膚などに多く含まれる線維状の硬たんぱく質。煮ると膠 (にかわ)ができます。
人間の体で一番多い成分は水で、60〜70%ですが、次に多いのがタンパク質で、15〜20%です。
このうち実に30%をコラーゲンが占めています。
つまり、体内でもっとも多いタンパク質なのです。
というのも、皮膚の真皮や全身に張り巡らされている血管は、コラーゲンでできているからです。
また、コラーゲンは軟骨の主成分で、水分を除いた固形成分の半分以上はコラーゲンでできているのです。
このほか、目の角膜やガラス体もコラーゲンでできています。
コラーゲンは、体の器官や組織を形成する重要な成分なのです。

Collagen triple helix molecule , Collagen is the main component of connective tissue , 3d illustration
わたしたちは、ビタミンCを摂ることにさえ留意していれば、Cを含んでいる食品の中には、生体が必要とするくらいのAもBも包含されていますから、敢えてAやBに心を配る必要がないのです。
ビタミンCを摂取する場合は、サプリメントなどの方法を排して、果物や野菜などの「本物の食べ物」を摂ることを推奨しています。
また清浄な「生水」の飲用も大切です。
ハワード・T・ベールマン博士とオスガール・L・レヴィン博士の共著『皮膚とその手当』の中で、
「不正食は、消化不良や腸障害を起し、顔に腫物や発疹となって現れるばかりでなく、皮膚に必要とする栄養をも供給しないものだ」
と、教えています。
本稿冒頭のJ・ハワード クラム博士の名言にもありますが、美容というものは、結局は全人間的なもののあらわれで、「心と身体の健康」を抜きにしては考えられないものです。
均整のとれたスタイル、標準体型の持ち主であっても、見る人に美しさを感じさせない人もいますし、かなり肥っている人でも、魅力を感じさせる人もいます。
要するに、わたしたちに美を感じさせる要素は見た目の容姿ばかりではなく、何よりも心の豊かさが大きなはたらきをするということを忘れてはならないでしょう。
「氏より育ち」という古い諺がありますが、古来、この精神的な教養といったものが、もっとも根本的なエレガントでシックな女性美の条件になると考えられています。
もちろん、男性もですね!
人間の脳が眼を通して識別できるものには限度があり、目の前のすべてが観えているわけではありません。
映像として観えていなくても、脳は「そこにある何か美しいもの」を感じているのです。
顔貌が別段に整っていなくても、高い教養なり、精神性の豊かさが、それらを美化します。
目には見えない、「感じる美しさ」ですね!
それゆえに、高い精神生活を内に蔵(かく)し、さらにそれに合致した整容法なり化粧をしたとすれば、その人の美しさは一層光輝あるものとなるでしょう。
古来、外見の美しさは、内面の美しさの表出といわれています。
何事も、内側からキレイが大切ですね!
References
“Beauty and health : a course in loveliness” / by J. Howard Crum. 1946
“COSMETIC DERMATITIS AND pH OF COSMETICS” Yoshitatsu URAGAMI, From the Department of Dermatology,Kyoto First Red Cross Hospital, Kyoto, Japan, May, 1973. pp.383-391